ENH: Use something other than FreeSurfer for BEM extraction
See original GitHub issueDear MNE expert,
I am working with a EEG dataset and I wish to run source on that. Unfortunately the T1w are not FLASH and I know that in the absence of FLASH images, MNE offers a somewhat less accurate solution based on the watershed algorithm (see Jas et al., 2018).
Indeed for some subjects in my dataset (see attached 1) I got the following error when I am going to run make_bem_model.
RuntimeError: Surface inner skull is not completely inside surface outer skull
For other subject instead the surfaces are simply wrong (see attached 2), even though make_bem_model hadn’t give me any error


I was wondering whether if you have some tips on how to fix them.
Thanks
Dave
Issue Analytics
- State:
- Created 4 years ago
- Comments:26 (21 by maintainers)
Top Results From Across the Web
mri_make_bem_surfaces - Free Surfer Wiki
mri_make_bem_surfaces - This is a tool to create BEM surfaces ... however, it is not updated or actively worked upon (It's last substantial ......
Read more >Head models of healthy and depressed adults for simulating ...
In our previous study, we reported stronger stimulation-induced E-fields in the lDLPFC for the bipolar montage used by Brunoni and colleagues (2013) than...
Read more >What's new — MNE 1.0.3 documentation
This simplifies MNE-Python maintenance and keeps the package smaller. The following new dependencies have been added: Jinja2 (replaces Tempita , ...
Read more >NeuroPycon: An open-source python toolbox for fast multi ...
Last but not least, the ability to use NeuroPycon parameter files to ... data will be used in the pipeline to extract the...
Read more >CMP3 Documentation - Connectome Mapper 3
by users not familiar with Docker and Singularity containers, ... Important: The user is requested to use its own Freesurfer license ...
Read more >
Top Related Medium Post
No results found
Top Related StackOverflow Question
No results found
Troubleshoot Live Code
Lightrun enables developers to add logs, metrics and snapshots to live code - no restarts or redeploys required.
Start Free
Top Related Reddit Thread
No results found
Top Related Hackernoon Post
No results found
Top Related Tweet
No results found
Top Related Dev.to Post
No results found
Top Related Hashnode Post
No results found

Some exploration so far – I’ve had decent luck with FieldTrip + SPM (worked on 157/158 subjects), but this requires MATLAB so it’s a bit of a no-go.
I then tried brainsuite and fsl using this gist. brainsuite
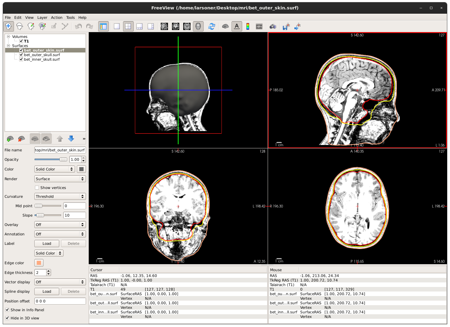
skullfinderis very fast (1-2 sec) but produces a questionable output, whereas fsl seems to work well in about a minute of run-time.Subject 1
brainsuite
skullfinder:fsl
bet:FieldTrip + SPM could not process this subject because it couldn’t determine the orientation (the head is tilted about the Z axis is probably the issue?).
Subject 2
brainsuite:
fsl:
FieldTrip + SPM + Python mesh code to marching_cubes + smooth + decimate:
Overall I think I like the idea of adding a
mne fsl_bemfunction that usesfslto generate BEM surfaces. It already puts out ones that are smoothed and 5120 triangles, writes to a standard format (vtk) that can by read by pyvista, etc. It even makes sure that the meshes don’t intersect:Amazing work, @larsoner!! Would very much love to see this added to MNE